肥満細胞腫
犬・猫の肥満細胞腫について
― 早期発見・正確な診断・適切な治療がとても大切です ―
肥満細胞腫(ひまんさいぼうしゅ)は、犬や猫に発生する皮膚や皮下の腫瘍の中で非常に代表的な腫瘍です。
見た目が“イボ”や“しこり”とよく似ていて、良性に見えても悪性のことがあるため、早めの受診と検査が重要です。
肥満細胞腫とは?
肥満細胞という、アレルギー反応に関わる免疫細胞が腫瘍化したものです。
皮膚の表面にしこりとして見つかることが多いですが、体のどこにでも発生する可能性があります。
皮膚・皮下に発生することが多いですが、内蔵(肝臓・脾臓・消化管など)にも発生することがあります。
見た目の特徴
肥満細胞腫は見た目だけで良性・悪性の判断ができません。
次のような姿をとることがあるため、「様子見」が危険なケースがあります。
- イボのような小さなしこり
- 少し赤みを帯びた結節
- 押すと大きくなったり小さくなったりする
- かさぶたのように見える
- 急に大きくなる
- 触ると赤みや痒みが増す(ダリエ兆候)

診断方法
当院では以下の検査を基本とします。
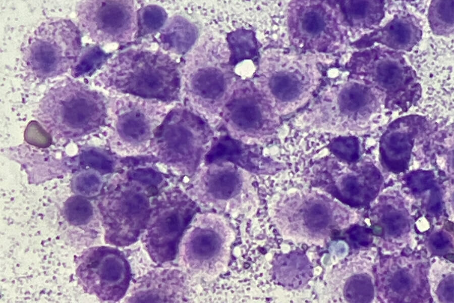
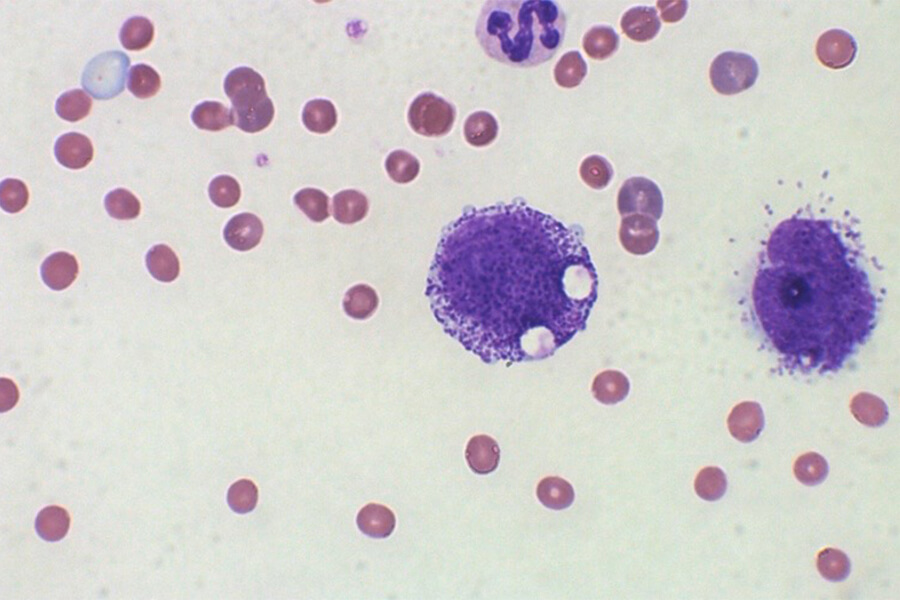
① 細胞診(FNA:針吸引)
しこりに細い針(採血時に使用する注射針と同様)を刺し、採取した細胞を顕微鏡で調べます。
身体への負担が少なく、鎮静などは不要なケースがほとんどです。
② 追加検査
腫瘍の性質や広がりを確認するために、必要に応じて
- 病理検査(組織生検)
- 超音波検査(脾臓・肝臓などの転移チェック)
- 血液検査
- 胸部レントゲン検査
を組み合わせて評価します。
治療方法
肥満細胞腫の治療は、腫瘍のグレード(悪性度)や位置、大きさ、進行度によって変わります。
◯ 手術(外科切除)
最も基本となる治療です。
早期であれば完全切除により治癒が期待できるケースが多くあります。
しこりが小さくても完全切除するために、大きく切除する必要があります。しこりが小さいうちに切除することが、より重要となります。
◯ 内科治療
外科切除が難しい場合、再発・転移がある場合に行います。
- ステロイド・抗ヒスタミン薬
- 分子標的薬(イマチニブ・トセラニブなど)
- 化学療法(抗がん剤)
患者さんの状態に合わせて、副作用に配慮しながら選択します。
◯ 放射線治療
外科切除が難しい場合や、外科後の追加治療としての為に実施します。
- 根治的照射(多分割照射)
- 緩和的照射(低分割照射)
※照射には専門の機器が必要となる為、大学病院などの二次診療施設へご紹介致します。
予後について
肥満細胞腫は、悪性度や発生部位、ステージによって予後が大きく異なります。
- 低グレード(悪性度が低い):手術で治癒することも多い
- 高グレード(悪性度が高い):進行が速く、追加治療が必要
- ステージ:身体のどこまで腫瘍が広がっているか
「良性に見えるしこりでも、実は高グレードだった」という例もあるため、早期の検査がもっとも大切です。
飼い主さまへのメッセージ
肥満細胞腫は、見た目だけでは判断できず、“しこり=すぐに検査” が一番の早期発見につながります。
多摩大塚どうぶつ病院では、腫瘍科認定医の経験をもつ獣医師が、患者さん一頭一頭に合わせた検査・治療をご提案しています。
気になるしこりや、最近できたイボがある場合は、どうぞお気軽にご相談ください。